矯正歯科
歯の矯正について
(成人矯正・小児矯正)

成増さくら歯科の矯正治療が
選ばれる理由
成増駅徒歩3分の成増さくら歯科・矯正歯科では、お子さまの矯正(小児矯正)から、大人やシニアの方の矯正(成人矯正)まで、幅広く治療を行なっております。
キレイな歯並びでしっかり噛めることは、全身の健康だけでなく、笑顔に自信を持てるようになり、ライフスタイルの向上にもつながります。
矯正治療をお考えの方は、ぜひ成増さくら歯科・矯正歯科にご相談ください。
ポイント1)
矯正専門のドクターによる矯正治療
院長は矯正専門の女性歯科医師です。自身も歯並びで悩み、実際に矯正治療を経験していることから、患者さまの目線に立って診療を行なっております。
また、子育てをする母親として、お子さまや保護者さまのご相談にも親身にお応えしております。一人ひとりの患者さまの声にじっくりと耳を傾け、むりなく着実にゴールへと向かえる安心で確かな矯正治療プランをご提案いたします。
ポイント2)
当院のみで虫歯治療も完結できる
矯正のみを行う歯科医院では、虫歯の治療などを他の医院に紹介して行うことが多いですが、成増さくら歯科・矯正歯科には虫歯治療や口腔外科(親知らず抜歯等)など、各分野専門の歯科医師が在籍しております。
多くの症状に対して、当院のみで完結することが可能です。歯の治療や予防メインテナンスも同時に行いつつ、歯列の矯正をスムーズに進めることができます。
ポイント3)
納得できる説明、選べる治療プラン
患者さまに後悔のない矯正治療を受けていただけるようにと、当院では丁寧なカウンセリング、分かりやすい説明を大事にしています。
矯正治療の装置や方法の選択肢は一つではありません。当院では、考え得るあらゆる治療の選択肢をご用意し、心から納得していただいた上で一緒に治療を進めてまいります。
ポイント4)
矯正中に困ったときも安心のサポート
矯正は他の歯科治療と比べても治療期間が長いため、医院の通いやすさや相性も重要となります。
成増さくら歯科・矯正歯科は、成増駅徒歩3分とアクセス抜群。土日祝・お昼の時間も診療していますので、矯正中に装置の不具合などで困った際も、いつでも相談できて安心です。
医院の雰囲気を確かめるためにも、ぜひ気軽にカウンセリングをご活用ください。
ポイント5)
充実の医療機器・治療テクニック
患者さまに一人ひとりに合った治療計画をご提供するために、歯科用CT、セファロレントゲン、口腔内3Dスキャナー(iTero)など様々な設備を導入し、精密な検査を行なっております。
大学病院で研鑽を積んだ歯科医師が連携し、充実の医療設備と技術を駆使することで、患者さまの身体的負担と時間的負担を最小限に抑えながら、より安全で丁寧な治療の提供を目指しています。
ポイント6)
明確な料金設定
矯正治療は高額な費用がかかるというイメージをお持ちの方もいらっしゃると思います。成増さくら歯科・矯正歯科では、矯正治療に必要な費用を矯正診断の際に細かくご説明させていただいております。
デンタルローンやクレジットカード払いなどのお支払い方法にも対応し、治療費の面でも親身にご相談を承っております。
治療費総額は、患者さまのお口の状態やご希望によっても異なりますので、どうぞお気軽にご来院ください。
ポイント7)
初診相談・カウンセリング
矯正の「初診相談」をお受けしております。また、約5分の簡単な検査で、矯正後の歯並びのイメージを確認できる簡易シミュレーションも無料で行なっておりますので、どうぞお気軽にお問い合わせください。
お見積もりや、資料を一度持ち帰って検討していただくことも可能です。
落ち着いてお話をしていただけるカウンセリングルームも備えていますので、どうぞ気になることは何でもご相談ください。
大人の歯の矯正治療
(成人矯正)について

矯正治療に年齢制限はある?
矯正治療をはじめるのに年齢の上限はなく、お口の中が健康な状態であれば、基本的に何歳からでも始めることができます。
特に近年はマウスピース型矯正装置などの普及により、20代、30代、40代以降から長年の歯並びの悩みを解消しようと矯正治療をスタートされる方も増えてきています。
こんなお悩みのある方へ
(歯並びの症状)
- 出っ歯(上顎前突)
- すきっ歯(空隙歯列)
- 受け口(反対咬合・下顎前突)
- 八重歯(犬歯低位唇側転位)
- デコボコ(叢生・乱杭歯)
- 開咬(オープンバイト)
- 過蓋咬合(噛み合わせが深い)
- 交叉咬合(クロスバイト)
- 歯の位置の異常(移転歯)
- 鋏状咬合(シザーズバイト) 等
上記のような歯並びや噛み合わせに問題のある症状を総称して「不正咬合(ふせいこうごう)」と呼びます。
成増さくら歯科・矯正歯科は、さまざまな症状に対する矯正治療法を熟知し、患者さまに合った治療方法をご提案いたします。
多彩な治療方法(ワイヤー、マウスピース、部分矯正)
マルチブラケット装置を用いた
歯列矯正治療とは
歯の表側、または裏側にブラケットと呼ばれる小さな四角い装置をつけ、ワイヤーの調整を行うことで歯を動かしていきます。

表側矯正(ラビアルブラケット矯正法)とは
歯の表側(唇側))に装置をつけるマルチブラケット装置を用いた歯列矯正治療です。表側矯正はほとんどの歯並びに対応でき、滑舌への影響が少ないのがメリットです。
見た目が目立ちやすいのがデメリットでしたが、近年は装置が目立ちにくい透明なクリアブラケットや白いワイヤータイプの装置も登場し、審美性も向上しました。

舌側矯正装置を用いた歯列矯正治療とは
通常は歯の表側に装着する矯正装置を、裏側(舌側)につけるマルチブラケット装置を用いた歯列矯正治療です。装置が裏側についているため目立ちにくく、また、歯の裏側は表側よりも虫歯のリスクが低いため、虫歯になりにくいメリットもあります。
成増さくら歯科では舌側矯正装置を用いた歯列矯正治療にも適切に対応可能です。

限局的歯列矯正治療
(MTM:Minor Tooth Movement)
「前歯だけ整えたい」「費用や期間をおさえたい」「昔していた矯正治療の後戻り」など、部分的に前歯だけを矯正したい場合などに行う矯正治療です。
奥歯の噛み合わせに問題がなく、前歯に限られた軽度の乱れを整える際には部分矯正で治療することができます。
適応症が限られますので、まずはお気軽に成増さくら歯科の相談にお越しください。

マウスピース型矯正装置による
歯列矯正治療(インビザライン)
透明なマウスピース型の矯正装置をつけて歯を動かします。装置が見えない矯正として人気が高まっています。
通常のワイヤー矯正のような金属を使用していないため、金属アレルギーの方にも適用可能です。さらに、取り外し可能なため歯のお掃除をしやすく、痛みや違和感も少ないとされています。
芸能人の方や接客・サービス業の方、結婚式や前撮りで矯正装置を目立たせたくない方にもおすすめの治療法です。

また、症状やご希望に応じて「ワイヤー+マウスピースを組み合わせた矯正」 によって治療期間の短縮を図れるケースもあります。マウスピース型矯正装置による歯列矯正治療は、歯茎の状態や骨格の問題によっては適用できないケースもありますので、一度お気軽にカウンセリングにいらしてください。
マウスピース型矯正装置による歯列矯正治療(インビザライン)について
矯正治療の期間や費用について
矯正の治療期間は、歯並びの状態や治療方法によって異なりますが、歯を動かすのに平均1〜3年程度、その後の保定(歯並びを安定維持する期間)に1年〜2年程度が目安となります。
また、通院の頻度は月1回程度が通常ですが、開始時期はその後のライフスタイルを考慮して検討する必要があります。費用相場も、歯を動かす範囲や矯正治療の種類によって異なりますが、平均で60〜100万程度の治療費が目安と言えるでしょう。
原則保険外診療のため、治療費は保険適用の診療に比べると高額になります。ただし、矯正歯科も医療費控除の対象となりますので、費用負担を軽減できる場合があります。
横顔や顔貌のバランスにまで
こだわる矯正歯科治療
歯並びを整えると、口元の印象だけでなく、お顔の印象や雰囲気も変わります。これは、歯並びや口元の骨格が、顔つきにとても影響するからです。
当院では、お顔を正面から見た時の顔貌のバランス、横顔の美しいEラインなども考慮した矯正プランを立案し、患者さまが心から素敵な笑顔になれる矯正歯科治療をご提供しております。
また、矯正治療は歯並びだけでなく体の健康面でも様々なメリットをもたらしてくれます。特に噛み合わせは虫歯や歯周病リスクの低減、顎関節症の予防、認知症との関連も報告されており、しっかりと噛める歯並びを維持することは生涯にわたる健康維持のためにとても大切です。
将来にわたる笑顔と健康につながる矯正治療を受けたいとお考えの方は、ぜひ成増さくら歯科・矯正歯科にご相談ください。
子どもの歯の矯正治療
(小児矯正)について

小児矯正とは?
小児矯正とは、成長期のお子さま向けの矯正歯科治療のことです。個人差の大きい子どもの成長発育中に行うため、様々な治療法が開発されています。
成増さくら歯科・矯正歯科では、子ども向けのマウスピース型矯正装置による歯列矯正治療「インビザライン・ファースト」、抜歯リスクを軽減する「床矯正」、口呼吸や指しゃぶり等の改善が期待できる「MFT(口腔筋機能療法)」など、さまざまな矯正方法に対応しております。
子どもの矯正(小児矯正)は
いつから始める?
小児矯正は大人の矯正治療と異なり、成長段階に応じた矯正治療を実現するために、第1期治療と第2期治療に分かれているのが特徴です。
第1期治療とは
第1期治療とは、乳歯から永久歯へと生え変わりつつある時期に行う矯正治療です。年齢でいうと、6~12歳ごろになります。この時期は成長発育が旺盛で、顎の骨格も含めた矯正治療が行えます。
第2期治療とは
第2期治療とは、すべての乳歯が永久歯に生え変わった時期(12歳くらいから)に行う矯正治療のことをいいます。
この時期に小児矯正を行うことで、成人矯正の必要性が軽減されたり、行う場合にも短期間で済みやすくなるなどのメリットがあります。
気になったときに
気軽にご相談ください
矯正治療を始める最適な時期は、お子さまのお口の状態によっても異なりますが、基本的には、お子さまの上下の前歯が生えてきているタイミング(6〜7歳ごろ)が最適な時期と言えるでしょう。
もちろん、どの年齢においてもその時に合った矯正治療をご提案しておりますので、気になった時にお気軽にご相談ください。
小児矯正は、治療の介入時期がとても重要ですので、初診はなるべく早い年齢に受けていただくのがおすすめです。それぞれのお子さまが最小の治療期間と費用で最大の効果をあげるには、いつ・どのような治療を行えば良いかをお話しすることができます。
小児矯正・治療や装置の種類
マウスピース型矯正装置による
歯列矯正治療
(インビザライン)
取り外しが楽にできるマウスピース型の装置を利用するのがマウスピース型矯正装置による歯列矯正治療(インビザライン)です。

マウスピース型矯正装置による歯列矯正治療(インビザライン)のメリット
- 目立ちにくい、虫歯になりにくい
マウスピース型矯正装置による歯列矯正治療(インビザライン)で使うマウスピースは、とても薄く透明度も高い上、歯にピッタリとフィットしているので、つけていても、よく見ないと分からないほど目立ちません。また、食事中や歯を磨く時はご自身で外せますから、歯磨きがしっかりできるので虫歯になりにくいのも利点の一つです。
マウスピース型矯正装置による歯列矯正治療(インビザライン)のデメリット
- 装着時間などの自己管理が必要
大人のマウスピース型矯正装置による歯列矯正治療(インビザライン)と同様に、マウスピースを決められた時間つけておかなければ、矯正治療の効果が得られません。そして、定期的に新しいマウスピースに交換する必要もあります。
また、取り外せるということは、マウスピースをなくしたり、破損したりするリスクもありますので、この点もマウスピース型矯正装置による歯列矯正治療の注意点となります。
マウスピース型矯正装置による歯列矯正治療「インビザライン・ファースト」に
ついて
マウスピース型矯正装置による歯列矯正治療「インビザライン・ファースト」とは、成増さくら歯科でも治療に活用しているマウスピース型矯正装置による歯列矯正治療(インビザライン)で知られる、アラインテクノロジー社が開発した子ども用のマウスピース型矯正装置による歯列矯正治療です。
マウスピース型矯正装置による歯列矯正治療「インビザライン・ファースト」の特徴
- 日常生活への影響が少ない
マウスピースのため目立ちにくく、日常生活や学校生活で矯正治療を受けていることが気になりません。また、舌の癖や指を吸う癖など、歯並びを悪くする癖の解消も同時に進められます。
もちろん取り外せますから、食事や歯磨きなどの日常生活への影響が少ないですし、薄くてフィット感に優れているので、楽器の演奏やスポーツも普通に楽しめます。
また、マウスピース型矯正装置による歯列矯正治療「インビザライン・ファースト」のマウスピースには、装着時間によって色が変化する機能がついているので、きちんと使えているかが分かりやすくなっています。
- 適応には条件がある
ただし、マウスピース型矯正装置による歯列矯正治療「インビザライン・ファースト」には適応条件があり、誰でも使用できるわけではありません。6歳臼歯・前歯・乳歯と永久歯の生え変わり状況など、条件を満たしていないと使用できません。
適応できるかどうか気になる方も、ぜひ遠慮なく成増さくら歯科・矯正歯科へご相談ください。
マルチブラケット装置を用いた
歯列矯正治療
マルチブラケット装置を用いた歯列矯正治療は、歯の表面につけたブラケットという金具と、そこに通したワイヤーで歯並びを整える矯正治療です。

マルチブラケット装置を用いた歯列矯正治療のメリット
- ほとんどの症例に対応できる
マルチブラケット装置を用いた歯列矯正治療の最大のメリットは、ほぼすべての歯列不正(しれつふせい:悪い歯並び)に対応できる適応範囲の広さです。
また、100年以上の長い歴史があり、問題点もほぼ出尽くしていると考えられ、治療の確実性が高いこともマルチブラケット装置を用いた歯列矯正のメリットと言えます。
マルチブラケット装置を用いた歯列矯正治療のデメリット
- 装置が目立ちやすい
マルチブラケット装置を用いた歯列矯正治療のデメリットは、やはり目立ちやすいという点が挙げられます。ブラケットの色を歯の色に近づけた、目立ちにくいタイプもありますが、マウスピース型矯正装置による歯列矯正治療ほど目立たないというわけではありません。
また、取り外せないので、食事や歯磨きがしにくいこともデメリットとして挙げられます。
拡大装置
拡大装置とは、お子さまの成長発育を利用した矯正装置です。顎の骨格の改善を目的としています。歯にしっかり固定する急速拡大装置、取り外しができる緩徐(かんじょ)拡大装置の2種類に分けられます。

拡大装置のメリット
- 抜歯するリスクを抑える
お子さまの成長発育を利用して顎の骨格を改善できるので、歯が生えるスペースの不足を起こしにくく、将来抜歯しなくても、きれいな歯並びになる可能性が高まります。
- 口呼吸の改善
骨格の改善を目的としていますが、同時に歯並びのバランスも整えられます。上顎の骨が大きくなることで鼻腔も広がり、口呼吸になりにくくなります。
拡大装置のデメリット
- 治療を行うタイミングが重要
成長発育が落ち着き、乳歯が全てなくなるような年齢になると、期待したほどの効果が得られにくくなります。
また、急速拡大装置は、歯に接着するので違和感が強いうえ、歯磨きがしにくくなるのもデメリットと言えます。
可撤式矯正装置(床矯正装置)
可撤式矯正装置(床矯正装置)とは、取り外しタイプの矯正装置であり、先ほどご紹介した緩徐拡大装置も可撤式矯正装置(床矯正装置)の一種となります。
この他にもアクチバトール(FKO)や咬合斜面板(こうごうしゃめんばん)、咬合挙上板(こうごうきょじょうばん)など、筋肉の働きを利用して歯並びの改善を図る、機能的矯正装置というタイプもあります。

可撤式矯正装置(床矯正装置)のメリット
- お手入れがしやすい
取り外しタイプなので、食事や歯磨きに影響しないなど、日常生活で困ることが少ないだけでなく、矯正装置のお手入れも簡単です。
可撤式矯正装置(床矯正装置)のデメリット
- 慣れるまで違和感が大きい
きちんと決められた時間つけていないと、矯正治療の効果が得られません。また、一般的な矯正装置と比べるとサイズが大きいので、慣れるまでは違和感や異物感があり、発音もしづらいでしょう。
そのほか、細かな歯並びの調整ができないなど、すべての歯列不正に使えるわけではないのも、可撤式矯正装置(床矯正装置)のデメリットの一つです。
MFT(口腔筋機能療法)
MFTとは、お子さまの口周りの筋肉の動きや舌の動きを改善し、正しく機能させることを目的とした各種トレーニングのことです。
5〜10歳ごろのお子さまを対象にMFTを継続して行うことで、お口の周囲の筋肉バランスを整え、口呼吸や指しゃぶりなどの癖をなおすことが期待できます。

MFT(口腔筋機能療法)のメリット
- 歯並び・噛み合わせを悪くする癖を改善
口をポカンと開けていることが多い、子どもの口呼吸が気になる、指しゃぶりや偏咀嚼を治したい、舌突出癖や異常嚥下癖を改善したいなど、このようなお悩みは「MFT(口腔筋機能療法)」で予防や治療できる場合があります。
また、お口周りの環境が整うことで、歯並びの矯正治療を行う際に治療期間が短くできることもあります。
- 表情やお顔の印象が良くなる
お口周りの筋機能が向上することで、発音の改善や自然に口角の上がった明るい印象の笑顔になることも期待できます。
MFT(口腔筋機能療法)のデメリット
- 効果が出にくい場合もある
口腔筋機能療法は、矯正装置などで物理的に強い力をかけて動かすわけではないので、効果が確実ではないケースがあります。
ただ、上述したようなメリットも多くあるため、当院では事前にしっかりと診査・診断のうえ、充分な効果が期待できると判断できる場合にご提案しております。
お子さま一人ひとりに合った
小児矯正を
成長期のお子さまの歯や顎の状態は、それぞれに異なるものです。大切なお子さまの矯正治療であればこそ、親御さんも不安や心配が尽きないでしょう。
成増さくら歯科・矯正歯科では矯正専門の歯科医師が治療を担当し、様々なタイプの矯正方法に的確に対応しております。矯正治療にはそれぞれメリットとデメリットがあるため、当院では事前にきちんとカウンセリングを行い、お子さま一人ひとりに合わせた矯正方法を丁寧にご案内しております。
お子様の診療にも配慮したスタッフが、安心してご対応いたします。
矯正治療の症例
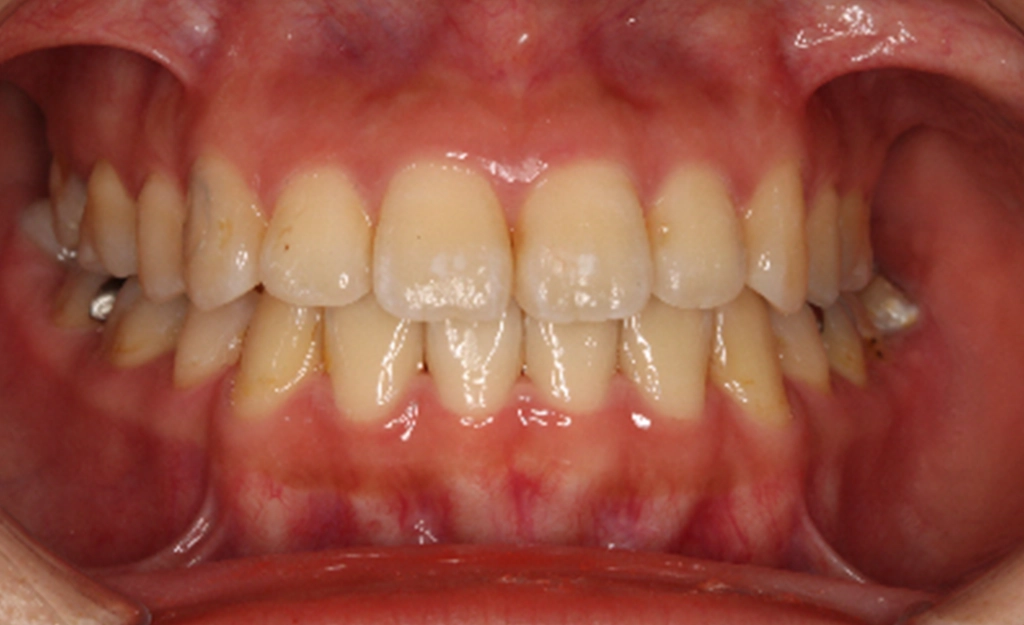
症例1
治療前
治療後

| 主 訴 | 歯のガタガタ、八重歯 |
| 診 断 名 | 早期接触を伴い前歯部叢生を特徴とする 歯性Ⅲ級不正咬合 |
| 年 齢 | 14歳10ヶ月 |
| 治療に用いた主な装置 | マルチブラケット装置 |
| 抜歯部位 | 上顎両側第二小臼歯、下顎両側第一小臼歯 |
| 治療期間 | 3年 |
| 治 療 費 | 880,000円 |
| 治療内容 | 両側上下顎小臼歯4本 抜歯ケース |
| 治療のリスク | う蝕、歯周病、知覚過敏、歯肉退縮 など |
症例2
治療前

治療後

| 主 訴 | 出っ歯、前歯のすき間、奥歯のかみ合わせ |
| 診 断 名 | 過大なオーバージェットと正中離開を伴う AngleⅡ級不正咬合 |
| 年 齢 | 15歳8ヶ月 |
| 治療に用いた主な装置 | マルチブラケット装置 |
| 抜歯部位 | 上顎両側第二小臼歯 |
| 治療期間 | 3年 |
| 治 療 費 | 880,000円 |
| 治療内容 | 両側上顎小臼歯2本 抜歯ケース |
| 治療のリスク | う蝕、歯周病、知覚過敏、歯肉退縮 など |
症例3
治療前

治療後

| 主 訴 | 深いかみ合わせ、奥歯のすれ違い |
| 診 断 名 | 上顎右側第一・第二大臼歯鋏状咬合及び 叢生を伴う過蓋咬合 |
| 年 齢 | 17歳6ヶ月 |
| 治療に用いた主な装置 | マルチブラケット装置 |
| 抜歯部位 | 非抜歯 |
| 治療期間 | 3年 |
| 治 療 費 | 880,000円 |
| 治療内容 | 非抜歯ケース |
| 治療のリスク | う蝕、歯周病、知覚過敏、歯肉退縮 など |
症例4
治療前

治療後

| 主 訴 | 口元の突出感、八重歯 |
| 診 断 名 | 上顎右側犬歯低位唇側転位を伴う叢生 |
| 年 齢 | 13歳1ヶ月 |
| 治療に用いた主な装置 | マルチブラケット装置 |
| 抜歯部位 | 上下顎両側第一小臼歯 |
| 治療期間 | 2年半 |
| 治 療 費 | 880,000円 |
| 治療内容 | 両側上下顎小臼歯4本 抜歯ケース |
| 治療のリスク | う蝕、歯周病、知覚過敏、歯肉退縮 など |
症例5
治療前

治療後

| 主 訴 | 歯のガタガタ、八重歯 |
| 診 断 名 | 上顎左側犬歯水平埋伏を伴う著しい叢生 |
| 年 齢 | 22歳8ヶ月 |
| 治療に用いた主な装置 | マルチブラケット装置 |
| 抜歯部位 | 上顎右側第一小臼歯、上顎左側犬歯(埋伏歯)、 下顎両側第一小臼歯 |
| 治療期間 | 3年 |
| 治 療 費 | 880,000円 |
| 治療内容 | 両側上下顎小臼歯4本 抜歯ケース |
| 治療のリスク | う蝕、歯周病、知覚過敏、歯肉退縮 など |
